Modern dentistry for the correction of teeth and bite problems is based on fixed orthodontic appliances – braces, systems fixed to the tooth enamel with special composite materials.
If medical or aesthetic indications call for the installation of braces, the choice of a particular type should be considered carefully, taking into account not only the cost, but also the complexity of the pathology, living and working conditions. The construction should not cause discomfort in your life and socialization.
What braces systems are made of
The design consists of the braces themselves and the orthodontic arch. Braces are placed on each tooth separately and are designed to transmit the pressure of the arch to the tooth, which causes the teeth to return to their normal position.
Principle and Procedure
It is important to understand that there is no one-size-fits-all treatment choice. Talk to your dentist about what kind of treatment is best for your particular situation. In addition to an initial consultation, this will require a thorough diagnosis of your individual case. Special diagnostics includes X-rays and a full protocol of the initial situation, as well as impressions of the teeth to make exact calculations and a treatment plan.
If your dentist recommends that you see an orthodontist because your teeth or jaw is misaligned, you should take this seriously.
There is no age limit for bite corrections. You can begin at age 6 or 7 with removable appliances (plates), or fixed, and there are also partial braces on certain teeth.
Correcting your bite allows you to take better care of your teeth, which means fewer cavities,
less problems with your gums, paradontium and temporomandibular joints, and improve the aesthetics of your face and smile, as well as your chewing function.
Most often, an orthodontist corrects crooked teeth or a wrong bite with the help of braces. But sometimes additional appliances and devices may be needed.
Luckily, advanced technology in orthodontics is improving all the time, giving you a better chance of a beautiful smile.
Prior to the installation of the bracket system, a preliminary preparation for the procedure is prescribed. Such preparation will be required if the patient is found to have:
– Carious cavities
– Inflammatory processes in the mouth
– Dental plaque (tartar and soft plaque on the teeth)
– Atypical position of wisdom teeth
These steps are followed by a thorough diagnostics, after which the choice and placement of the system can be started.
Various types of braces
Modern dentistry offers a wide range of choices for the treatment of curvature and malocclusion. At the #NikaDent dental clinic, a board-certified orthodontist can help you choose the most appropriate treatment option and a wide range of braces can help make the process more comfortable and effective.
Metal braces
Composed of two main components, viz:
– Metal pads, which are placed on the teeth;
– A metal arch that is threaded through them to exert pressure on the teeth and eventually move them.
By the way the arch is attached to the base of the brace, they come in:
– Ligature, when the arch is fixed to the brace with a ligature (rubber band)
– Self-ligating, when the arch is attached to the bracket with a latch.
Ceramic braces
They belong to the aesthetic type of braces. They look less noticeable on the teeth than metal.
But they are more fragile. So you need to be even more careful with these systems. According to the way the arch is attached to the brace, there are:
– ligature
– self-ligating
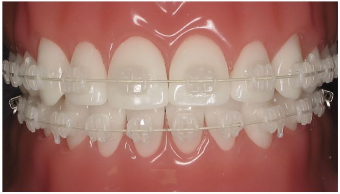
Sapphire braces
This system of braces also refers to aesthetic braces, they are transparent and invisible on the teeth. Sapphire braces are made of sapphire glass, a synthetic component that has the same structure and composition as natural sapphire, but is more economical… not only are they transparent, but they do not change color over time.
And that is the main advantage of sapphire braces, besides the absence of allergic reactions and the absence of discomfort make these braces the most popular.
The only disadvantage of this system is its price!
Types of systems by fixation method
Regardless of the materials of manufacture, braces come in ligature and self-ligature, these are design features of the attachment of the bracket plates to the teeth. In the first case, the attachment of the arch to the locks is made by elastic rings (ligatures). In the second option, we are talking about self-ligating systems – the arc is inserted into a special slot with a lock.
– Ligature braces
Ligature braces consist of an arch, locks and ligatures, which are called ligatures. The ligatures hold the locks firmly in their original position, preventing them from shifting. The main disadvantage is that the tension is not evenly distributed and can be painful.
If a ligature system is chosen for treatment, monthly visits to the orthodontist are mandatory.
– Self-ligature (ligatureless) braces
Ligatureless braces are systems that have no locking elements. Each latch has grooves in which the arc itself moves when overloaded. With this system, the impact on the teeth is distributed evenly rather than specifically in one place.
Ligature braces are effective for all forms of malocclusions, and the process of correction is more comfortable.
In addition to the fact that self-ligature braces allow less frequent visits to the doctor and look more attractive, their effect on the teeth is softer and gentler in comparison with ligature systems.
What is the best braces to choose?
It is impossible to say unequivocally that this system is good and this system is not. Each has its own pros and cons. The patient’s choice is influenced not only by his desires and capabilities, but also by the doctor’s recommendations. Depending on the situation, only metal braces and no other may be prescribed – you should be prepared for such nuances.
The amount of time needed for the treatment is also an important factor for the patient, as it directly influences the possible limitations or inconveniences in the patient’s daily life.
Generally, it should be kept in mind that the appearance of the bracket systems has absolutely no influence on the efficiency in obtaining the final result of the treatment. When choosing a system, attention should be paid to Cost, aesthetic requirements and individual needs should be taken into account. In any case, the final choice of the system is made only after visiting the orthodontist and taking a detailed consultation with the dentist after numerous diagnostic procedures.
At NikaDent dental clinic you can get a full consultation with an orthodontist and by strictly following the made treatment plan see the result – a beautiful, smooth and comfortable dentition.
To make an appointment for a consultation call our reseptionist at: +38 (066) 721-41-44, +38 (098) 893-24-43.
Or by electronic appointment on our website.
We are located at: Kropivnitskiy, 76, Verkhnyaya Bykovskaya St. (former Chapaeva St., district OBLENERGO), NikaDent Dental Clinic





